Dresdner Straße 178
Für Erwachsene: 0371 - 333 12600 (Haus 2) Für Kinder: 0371 - 333 12200 (Haus 8)Für alle dringenden und lebensbedrohlichen medizinischen Notfälle (Flemmingstraße 2)
Telefon 0371 - 333 35500Für kardiologische Notfälle (zum Beispiel Herzinfarkt)
Telefon 0172 - 377 2436Flemmingstraße 2 (N022/Haus 1)
Telefon 0371 - 333 36328Bereitschaftspraxis der KVS
Allgemeinmedizinischer BehandlungsbereichFlemmingstraße 4, Haus B (Zugang über Seiteneingang Haus B)
weitere Informationen unter: bereitschaftspraxen.116117.de
Dresdner Straße 178
Für Erwachsene: 0371 - 333 12600 (Haus 2) Für Kinder: 0371 - 333 12200 (Haus 8)Für alle dringenden und lebensbedrohlichen medizinischen Notfälle (Flemmingstraße 2)
Telefon 0371 - 333 35500Für kardiologische Notfälle (zum Beispiel Herzinfarkt)
Telefon 0172 - 377 2436Flemmingstraße 2 (N022/Haus 1)
Telefon 0371 - 333 36328Bereitschaftspraxis der KVS
Allgemeinmedizinischer BehandlungsbereichFlemmingstraße 4, Haus B (Zugang über Seiteneingang Haus B)
weitere Informationen unter: bereitschaftspraxen.116117.de
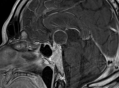
Die Hypophyse (Hirnanhangsdrüse) ist eine kleine, aber entscheidende Hormondrüse im Gehirn. Sie steuert das endokrine System und reguliert über ihre Hormone unter anderem Schilddrüse, Nebennieren sowie Eierstöcke und Hoden. Teilweise wirkt sie auch direkt auf Zielorgane.
Anatomisch liegt die Hypophyse in der Sella turcica (Türkensattel) an der Schädelbasis, direkt unterhalb der Sehnervenkreuzung. Erkrankungen der Hypophyse können daher neben hormonellen Störungen auch Sehstörungenverursachen. Die Drüse besteht aus Vorderlappen (Adenohypophyse), Pars intermedia und Hinterlappen (Neurohypophyse).
Funktionsstörungen der Hypophyse führen entweder zu einer Hormonunterproduktion (Hypopituitarismus) oder zu einer Hormonüberproduktion, häufig verursacht durch Hypophysenadenome (meist gutartig). Ein Hormonmangel kann in der Regel durch eine gezielte Hormonersatztherapie ausgeglichen werden. Steht ein Adenom als Ursache im Vordergrund, kann sich die Hormonproduktion nach einer Operation teilweise oder vollständig erholen, sodass Medikamente nicht immer dauerhaft notwendig sind. Eine Hormonüberproduktion, wie sie bei hormonaktiven Hypophysenadenomen (z. B. Prolaktinom, Akromegalie, Morbus Cushing) auftritt, erfordert meist ein individuelles, interdisziplinäres Behandlungskonzept, bestehend aus medikamentöser Therapie, Operation und ggf. Strahlentherapie.
Das Hypophysenadenom, heute zunehmend auch als pituitäres neuroendokrines Tumorleiden (pitNET) bezeichnet, ist eine meist gutartige Neubildung aus Zellen des Hypophysenvorderlappens. Durch das Tumorwachstum kann gesundes Hypophysengewebe in der knöchernen Sella turcica verdrängt werden, was zu einem Hormonmangel (Hypopituitarismus) führt. Dabei können einzelne Hormone oder mehrere Hormonachsen betroffen sein. Wächst der Tumor nach oben, kann er auf die Sehnervenkreuzung drücken und Sehstörungen verursachen.
Ein Teil der Hypophysenadenome (pitNET) ist hormonaktiv und produziert übermäßig Hormone. Diese Hormonüberproduktion kann erhebliche Auswirkungen auf den Körper haben und führt – abhängig vom betroffenen Hormon – zu unterschiedlichen Krankheitsbildern.
Das Prolaktinom ist die häufigste Form des hormonaktiven Hypophysenadenoms. Typische Symptome sind Milchfluss (Galaktorrhö), Zyklusstörungen, Libido- oder Potenzverlust. Im Blut zeigt sich eine deutlich erhöhte Prolaktinkonzentration, meist weit über der oberen Normgrenze. Nicht jede Prolaktinerhöhung bedeutet jedoch ein Prolaktinom: Leichtgradige oder vorübergehende Erhöhungen können z. B. durch Stress, Medikamente oder andere körperliche Reize auftreten und haben nicht zwangsläufig Krankheitswert. Erst bei persistierend deutlich erhöhten Werten und passender Klinik besteht der Verdacht auf ein Prolaktinom. Ein gesichertes Prolaktinom wird in der Regel medikamentös mit Dopaminagonisten behandelt.
Weitere hormonaktive Adenome sind STH-produzierende Adenome (Akromegalie). Die Überproduktion von Wachstumshormon führt bei Erwachsenen zu einer Vergrößerung von Händen, Füßen, Kieferknochen und inneren Organen, häufig begleitet von Schmerzen. Die medikamentöse Therapie ist hier nur eingeschränkt wirksam und wird meist ergänzend nach operativer Tumorentfernung eingesetzt.
ACTH-produzierende Adenome verursachen den Morbus Cushing, dessen Nachweis manchmal auch für erfahrene Ärzte eine Herausforderung darstellt. Oftmals haben die Patienten bis zur diagnostischen Bestätigung der Erkrankung einen langen Leidensweg. Durch die vermehrte ACTH-Ausschüttung kommt es zu einer Überproduktion von Cortisol in der Nebennierenrinde. Typische Symptome sind Stammfettsucht, Bluthochdruck, Diabetes mellitus, Muskelschwäche, Osteoporose sowie eine erhöhte Infektanfälligkeit. Die operative Entfernung des Adenoms ist die Therapie der ersten Wahl; in ausgewählten Fällen kommen zusätzlich medikamentöse oder strahlentherapeutische Verfahren zum Einsatz.
Gonadotropinome sind in der Regel hormoninaktiv und verursachen meist keine klinisch relevante Hormonüberproduktion. Sie werden häufig erst durch raumfordernde Symptome wie Kopfschmerzen, Sehstörungen oder einen Hormonmangel diagnostiziert und in diesen Fällen überwiegend operativ behandelt.
Lesen Sie mehr unter Behandlungsmethoden.
Raumforderungen der Schädelbasis, insbesondere Hypophysenadenome, können – abhängig von ihrer Größe – von unten auf die Sehnervenkreuzung (Chiasma opticum) drücken und dadurch Sehstörungen verursachen. Typisch ist die Entwicklung eines Gesichtsfelddefekts, bei dem sich der wahrnehmbare Sehbereich schleichend verkleinert.
Bleibt eine solche Kompression unbehandelt, kann es im Extremfall zur Erblindung kommen. Ein plötzlich auftretender oder rasch zunehmender Gesichtsfelddefekt stellt daher einen dringenden medizinischen Notfall dar und erfordert eine sofortige Abklärung und Behandlung.
Da die meisten Tumoren jedoch langsam wachsen, bleiben frühe Gesichtsfeldausfälle häufig unbemerkt. Aus diesem Grund werden Patientinnen und Patienten, bei denen ein Tumor Kontakt zur Sehnervenkreuzung hat, regelmäßig augenärztlich untersucht, um Sehstörungen frühzeitig zu erkennen.
Zysten der Rathke’schen Tasche sind flüssigkeitsgefüllte Hohlräume im Bereich der Hypophyse. Es handelt sich um angeborene Fehlbildungen, die aus Resten der embryonalen Entwicklung hervorgehen. Häufig werden sie zufällig entdeckt und haben dann keinen Krankheitswert.
In einigen Fällen können Rathke-Zysten jedoch zunehmen und durch Druck auf die Hypophyse oder benachbarte Strukturen Hormonstörungen oder andere Beschwerden verursachen. Bei entsprechender Symptomatik erfolgt die Behandlung meist durch eine operative Entlastung über einen transnasalen Zugang, vergleichbar mit der Operation eines Hypophysenadenoms.
Kraniopharyngeome sind meist gutartige Tumoren im Bereich der Hypophyse, die sich deutlich in Größe und Ausdehnung unterscheiden können. Entsprechend vielfältig sind die möglichen Beschwerden. Dazu zählen Hormonstörungen, Sehstörungen, Störungen des Wasserhaushalts (Diabetes insipidus) sowie neurologische und psychische Symptome.
Nicht jedes Kraniopharyngeom muss sofort operativ behandelt werden. Viele Befunde werden zufällig im Rahmen einer MRT-Untersuchung entdeckt. Bestehen keine Symptome, kann der Verlauf häufig im Sinne eines „Wait-and-Scan“-Konzepts mit regelmäßigen MRT-Kontrollen beobachtet werden.
Bei symptomatischen Kraniopharyngeomen ist in der Regel eine operative Therapie angezeigt. Die Wahl der Operationsmethode richtet sich nach Größe und Ausbreitung des Tumors. Kleinere Befunde können – ähnlich wie Hypophysenadenome – transnasal, häufig unter Einsatz der endoskopischen Technik, entfernt werden.
In ausgewählten Fällen ist auch eine medikamentöse Therapie möglich, insbesondere bei BRAF-mutierten Kraniopharyngeomen, bei denen BRAF-Inhibitoren zu einer deutlichen Tumorverkleinerung führen können.
Eine enge interdisziplinäre Zusammenarbeit mit Endokrinologinnen und Endokrinologen ist essenziell, da in vielen Fällen eine dauerhafte medikamentöse Hormonersatztherapie erforderlich ist.
Unsere Webseite verwendet Cookies. Diese haben zwei Funktionen: Zum einen sind sie erforderlich für die grundlegende Funktionalität unserer Website. Zum anderen können wir mit Hilfe der Cookies unsere Inhalte für Sie immer weiter verbessern. Hierzu werden pseudonymisierte Daten von Website-Besuchern gesammelt und ausgewertet. Das Einverständnis in die Verwendung der Cookies können Sie jederzeit widerrufen. Weitere Informationen zu Cookies auf dieser Website finden Sie in unserer Datenschutzerklärung und zu uns im Impressum.